您现在的位置是:首页 > 榴榴无忌

关于HPV6,也就是尖锐湿疣,出门在外,别为了不戴套爽而爽,极易中招!

| 人围观 |

无欲无未来2026-04-05 17:37:00

写之前还是跟各位大哥们说一下,出门约炮,一定要戴套,这个玩意不致命,但是患上了,非常影响生活!
HPV6 是 低危型人乳头瘤病毒,不致癌,但极易引发尖锐湿疣(一种常见性病)。下面一次性讲清:是什么、危害、症状、检查、治疗、预防、转阴。
一、HPV6 基本定位
型别:黏膜低危型 HPV(与 HPV11 一起)
核心危害:尖锐湿疣(生殖器疣 / 肛门疣)
90% 左右的尖锐湿疣由 HPV6 + HPV11 引起
致癌性:极低,几乎不致癌
WHO 明确归为 低危型,与宫颈癌、肛门癌基本无关
潜伏期:3 周~8 个月(平均约 3 个月)
自愈性:免疫力正常者,1~2 年内多可自行清除病毒
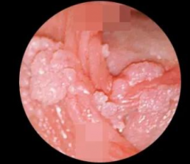
二、主要症状:尖锐湿疣(长什么样)
1. 好发部位
男性:龟头、冠状沟、包皮、阴茎体、尿道口、肛周
女性:阴道口、阴唇、阴蒂、宫颈、阴道壁、肛周
其他:口腔、咽喉(口交传播)
2. 典型疣体表现
形态:菜花状、乳头状、鸡冠状、颗粒状
颜色:粉红、肤色、灰白
质地:柔软,触碰易出血
感觉:多数 不痛不痒;少数有:
轻微瘙痒、异物感
破溃后疼痛、感染、异味
3. 特殊情况
潜伏感染:HPV6 阳性,但肉眼看不到疣体(带毒状态)
亚临床感染:醋酸白试验才发白,肉眼难辨
巨大疣体:少数免疫差者会长成巨大块(Buschke-Lowenstein 瘤)PaVE
三、怎么检查确诊
肉眼 + 醋酸白试验
5% 醋酸涂抹,病变处变白(辅助判断)
HPV 分型检测(PCR)
确诊 HPV6 阳性(最准)
病理活检
疣体切除做病理:挖空细胞 → 确诊尖锐湿疣
四、治疗原则(HPV6 无特效药,治疣体 + 防复发)
1. 物理去疣(首选)
激光:快速、精准、出血少
冷冻(液氮):便宜、方便
电灼 / 微波
光动力(PDT):清除疣体 + 亚临床感染,复发率更低
2. 外用药(适合小、少疣体)
鬼臼毒素:细胞毒,腐蚀疣体(孕妇禁用)
咪喹莫特乳膏:免疫调节剂,刺激自身抗病毒
茶多酚软膏、三氯醋酸等
3. 复发问题
3 个月内复发率最高(约 30%)
复发≠治疗失败,多是潜伏病毒再活跃
坚持:去疣 + 提高免疫 + 避免再次感染
五、对你最重要的 5 句话
HPV6 ≠ 癌症,完全不用怕癌变
主要问题是尖锐湿疣(性病),传染性强
免疫力是关键:熬夜、压力大、感冒、糖尿病、HIV 等会延长感染、易复发
性伴侣必须同查同治,否则交叉感染、永远好不了
可预防:四价 / 九价 HPV 疫苗都覆盖 HPV6PMC


主要是长起来了,什么都做不了,而且用药后,刺激性特别强,会破坏正常的皮肤,出门在外,别为了不戴套爽而爽,极易中招!会和你约的女人,极有可能会和别人约!


应大哥们要求,上点图片给大家
[/img]
大家可以看看这些分别 是哪个部位的


此贴由无欲无未来重新编辑:2026-04-03 11:47

随便看看